Fillings

Home | Fillings
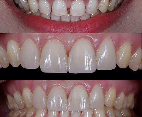
Before and after teeth images

Fillings

Dental fillings are used to repair parts of a tooth that have been damaged by decay or worn down over time. At Mastrick Smile Care, if a filling is recommended after your examination, a member of our team will explain the different material options available, how to care for your filling afterwards, and what to expect in terms of cost. We use only high-quality dental materials to ensure your treatment is as comfortable, long-lasting, and natural-looking as possible.

Arrange An Appointment

If you’d like to book an appointment or just have a few questions, don’t hesitate to get in touch with the practice.

Amalgam to Composite

Amalgam fillings in the lower jaw are often visible when you talk or laugh — and sometimes, even upper jaw fillings can be seen too. These silver fillings can look unsightly and may even cause some discolouration to the tooth. Composite (white) fillings are a more discreet alternative, offering a natural look that blends in with your teeth.

Image of composite filling